Smile Makeover: Jasmina
Description
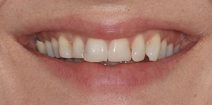
Treatment: Upper and lower porcelain restorations to fix her TMJ and correct her smile Jasmina presented to our office searching for help. She suffered from daily migraines and headaches. At the same point, she also wanted to improve her smile. After taking a closer look, we discovered that her bite was affecting her muscles which in turn were causing her headaches. We decided to treat her TMJ first using an orthotic to re-establish a new bite position. Once she started feeling better, we made plans to permanently change her bite and enhance her smile. To do this, we placed porcelain veneers and crowns on her upper and lower teeth. In the end, we gave her a pain free smile that she shows off any chance that she can get










